본문 바로가기 주메뉴 바로가기

전체메뉴

치아성형 in Raon

철저한 준비로 보다 안전하게!

정확한 진단을 바탕으로 기능성과 심미성을 고려한 맞춤형
체계적인 시스템으로 철저한 관리 프로그램을 시행

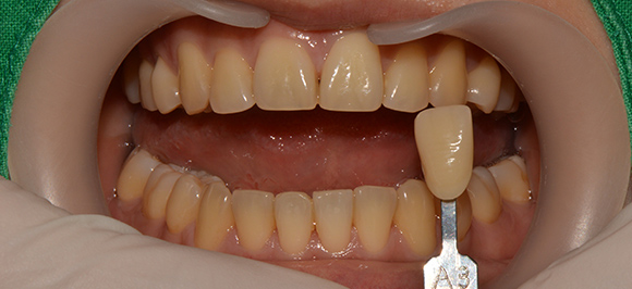
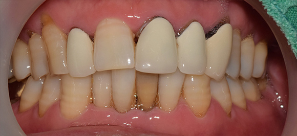
치아성형 (심미치료)

짧은 시간으로 치아 콤플렉스 개선!
치아 모양과 잇몸 형태 그리고 색상과 치열 등
환자 개인의 전반적인 구강 상태를 고려

치아 건강과 아름다운 심미를 만드는 조화

환자 개인에 따라 치과 치료 및 시술 방법이 다르게 적용될 수 있으며
통증과 출혈, 염증 등 부작용이 발생할 수 있으니 충분한 상담 후 진행하시기 바랍니다.

- 의료법 제 56조 제2항 7호에 따라 ‘치과 치료 (시술) 부작용’에 대한 내용을 명시합니다 -

높은 완성도를 위해서는 구강검진은 필수!

진료에 앞서서 본인의 구강 상태가 현재 시술이 진행이 가능한지를
확인하는 것이 반드시 선행된 후, 치료 여부를 진단

치료가 끝이 아닙니다!

구강 관리정기적인 검진은 필수입니다.

미백제 사용이나 최소량의 치아 삭제는 이시림 등이 나타날 수 있지만
일시적인 증상으로 시간이 지나면 호전이 되요.
(호전되지 않는다면 신속히 내원해 적절한 처치가 필요해요.)

미백 시술 후, 48시간 이내에는 착색 음료는 삼해주세요. 콜라나 커피
그리고 담배는 다시 착색 유발하니, 주의해주세요.

라미네이트 시술 후, 음주나 가글은 알코올 성분으로 접착력을 약하게
만들어 떨어져 나갈 수 있으니 금해주세요.

치아성형 후, 오랜 유지와 사용을 위해선 음식 관리는 필수이고, 특히
질기거나 딱딱한 그리고 차거나 뜨거운 음식은 자제해주세요.

본 치과병원은 국민건강보험공단에서 지정한 의료기관입니다.

영유아학생 그리고 성인(일반/직장인/생애전환기) 실시

건강검진기본법 관련 구강검진기관 지정기준(제4조 제2항 관련)에 의하여 선정된 기관입니다.
대상자 _ 생후 18~29 · 42~53 · 54~65개월, 초·중·고등학생, 직장인, 만 40세, 만 66세

ONE_STOP Care!

협력 진료 시스템

치과 치료 특성상 여러 치료가 연계되는 상황에서 시간이나 비용 등
경제적인 부담을 줄이기 위해서는 체계적인 협진이 필요합니다.

  • 보철과
  • 보존과
  • 구강외과
  • 교정과