본문 바로가기 주메뉴 바로가기

전체메뉴

치주치료 in Raon

철저한 준비로 보다 안전하게!

정확한 진단을 바탕으로 기능성과 심미성을 고려한 맞춤형
체계적인 시스템으로 철저한 관리 프로그램을 시행

치주치료

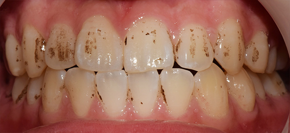
성인 10명 중 8명이 앓고 있는 흔한 치주염(잇몸병)
통증을 포함해, 이시림이나 출혈 등 이상을 빈번히 느낌에도
일시적인 증상으로 대수롭게 않게 여기는 경우가 많아

치아를 지지하는 잇몸! 스케일링부터 소파술까지

환자 개인에 따라 치과 치료 및 시술 방법이 다르게 적용될 수 있으며
통증과 출혈, 염증 등 부작용이 발생할 수 있으니 충분한 상담 후 진행하시기 바랍니다.

- 의료법 제 56조 제2항 7호에 따라 ‘치과 치료 (시술) 부작용’에 대한 내용을 명시합니다 -

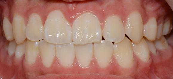
잇몸 관리로 건강을 위한 시작! 스케일링

잇몸 건강을 위협은 물론 각종 구강질환의 주된 원인인 치태와 치석!

치주질환이 있다면 3~4개월 간격으로 정기적으로 실시
치료가 끝이 아닙니다!

구강 관리정기적인 검진은 필수입니다.

치아와 잇몸 사이 사이 공간이 넓어 보이거나 음식이 잘 끼는 등 이전과
다른 증상은 부었던 잇몸이 가라앉아 나타나는 일시적인 증상이에요.

마찬가지로 시리거나 흔들리는 증상 또한 일시적인 증상이지만 시간이
지나 호전되지 않는다면 신속히 내원해, 적절한 처치를 받아야 해요.

빠른 회복을 위해서는 금연과 금주는 필수로 해야 하며, 지혈을 위해서는
빨대 사용은 금하고 침과 피는 모두 삼켜주셔야 해요.

마취를 한 경우, 2~3시간 후에 풀리므로 식사는 마취가 풀린 후에 드세요.
(무감각 상태일 때는 볼이나 혀를 씹어 상처가 생길 수 있어요.)

본 치과병원은 국민건강보험공단에서 지정한 의료기관입니다.

영유아학생 그리고 성인(일반/직장인/생애전환기) 실시

건강검진기본법 관련 구강검진기관 지정기준(제4조 제2항 관련)에 의하여 선정된 기관입니다.
대상자 _ 생후 18~29 · 42~53 · 54~65개월, 초·중·고등학생, 직장인, 만 40세, 만 66세

ONE_STOP Care!

협력 진료 시스템

치과 치료 특성상 여러 치료가 연계되는 상황에서 시간이나 비용 등
경제적인 부담을 줄이기 위해서는 체계적인 협진이 필요합니다.

  • 보철과
  • 보존과
  • 구강외과
  • 교정과