본문 바로가기 주메뉴 바로가기

전체메뉴

신경치료 in Raon

철저한 준비로 보다 안전하게!

정확한 진단을 바탕으로 기능성과 심미성을 고려한 맞춤형
체계적인 시스템으로 철저한 관리 프로그램을 시행

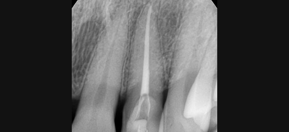
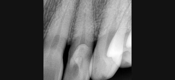
신경(근관)치료

평생에 한번 뿐인 소중한 내 자연치아를 보존!
염증으로 인해 치아 깊숙한 곳까지 번져 통증을 유발
감염된 신경을 제거하고 멸균한 후, 내부와 외부를 보호

내 자연치아를 살리는 마지막 수단!

환자 개인에 따라 치과 치료 및 시술 방법이 다르게 적용될 수 있으며
통증과 출혈, 염증 등 부작용이 발생할 수 있으니 충분한 상담 후 진행하시기 바랍니다.

- 의료법 제 56조 제2항 7호에 따라 ‘치과 치료 (시술) 부작용’에 대한 내용을 명시합니다 -

미세현미경을 이용한 신경치료

눈에 보이지 않는 부분까지 세심하고 꼼꼼하게

3~24배 확대로 미세한 공간까지 정밀하고 정교한 치료가 가능
치료가 끝이 아닙니다!

구강 관리정기적인 검진은 필수입니다.

치료 중인 치아 쪽으로는 씹는 것은 자제를 해주시고 음식은 가위로 잘게 잘라서
반대편으로 천천히 씹어야 해요.

치료를 갑자기 중단하거나 소홀한 관리 또는 부주의로 치아가 부러진다면 발치를
할 수 있으니 보철치료까지 진행하는 것이 중요해요.

2주 정도는 민감도가 치료 전보다 더 불편할 수도 있지만 시간이 지나면 호전되요.

치료 부위를 자극하지 않도록 혀나 손으로 만지거나 행동은 금해주셔야 해요.

치료 후, 염증이나 고열 또는 부종이 계속된다면 신속히 내원하여 적절한 처치를
받아야 해요. (경우에 따라 보철을 제거하고 재신경치료를 할 수도 있어요.)

본 치과병원은 국민건강보험공단에서 지정한 의료기관입니다.

영유아학생 그리고 성인(일반/직장인/생애전환기) 실시

건강검진기본법 관련 구강검진기관 지정기준(제4조 제2항 관련)에 의하여 선정된 기관입니다.
대상자 _ 생후 18~29 · 42~53 · 54~65개월, 초·중·고등학생, 직장인, 만 40세, 만 66세

ONE_STOP Care!

협력 진료 시스템

치과 치료 특성상 여러 치료가 연계되는 상황에서 시간이나 비용 등
경제적인 부담을 줄이기 위해서는 체계적인 협진이 필요합니다.

  • 보철과
  • 보존과
  • 구강외과
  • 교정과