본문 바로가기 주메뉴 바로가기

전체메뉴

보철치료 in Raon

철저한 준비로 보다 안전하게!

정확한 진단을 바탕으로 기능성과 심미성을 고려한 맞춤형
체계적인 시스템으로 철저한 관리 프로그램을 시행

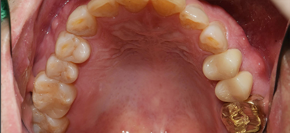
보철치료

치아 일부가 상실되면서 저작이나 심미, 발음 등
고유의 기능성 그리고 심미성 회복을 위한 치료
대표적인 크라운을 비롯해, 틀니와 브릿지도 포함

치아 본연의 기능성심미성을 동시에!

환자 개인에 따라 치과 치료 및 시술 방법이 다르게 적용될 수 있으며
통증과 출혈, 염증 등 부작용이 발생할 수 있으니 충분한 상담 후 진행하시기 바랍니다.

- 의료법 제 56조 제2항 7호에 따라 ‘치과 치료 (시술) 부작용’에 대한 내용을 명시합니다 -

  • 틀니

    인공치아 구조물로 탈착이 가능

    완전 틀니와 부분 틀니로 구분
  • 완전 틀니와 부분 틀니로 구분

    이가 빠진 자리 옆, 양쪽 치아에

    다리를 걸듯 보철물을 연결
치료가 끝이 아닙니다!

구강 관리정기적인 검진은 필수입니다.

보철물의 단단한 접착을 위해 24시간 정도가 필요해요.

카라멜이나 아몬드, 오징어 등 질기거나 끈적하고 딱딱한 음식은 삼가해주세요.

보철물에 오랜 사용을 위해서는 깨끗하고 청결한 관리가 중요해요.
(평소 양치질 뿐만 아니라 치간 칫솔 등 보조용품 사용을 권해드려요.)

보철물이 빠지거나 부러지는 등 손상이 되었다면 깨진 조각을 가지고 신속히
내원해서 적절한 처치와 치료를 받아야 해요.

본 치과병원은 국민건강보험공단에서 지정한 의료기관입니다.

영유아학생 그리고 성인(일반/직장인/생애전환기) 실시

건강검진기본법 관련 구강검진기관 지정기준(제4조 제2항 관련)에 의하여 선정된 기관입니다.
대상자 _ 생후 18~29 · 42~53 · 54~65개월, 초·중·고등학생, 직장인, 만 40세, 만 66세

ONE_STOP Care!

협력 진료 시스템

치과 치료 특성상 여러 치료가 연계되는 상황에서 시간이나 비용 등
경제적인 부담을 줄이기 위해서는 체계적인 협진이 필요합니다.

  • 보철과
  • 보존과
  • 구강외과
  • 교정과