본문 바로가기 주메뉴 바로가기

전체메뉴

사랑니발치 in Raon

철저한 준비로 보다 안전하게!

정확한 진단을 바탕으로 기능성과 심미성을 고려한 맞춤형
체계적인 시스템으로 철저한 관리 프로그램을 시행

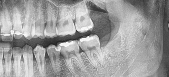
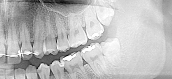
사랑니발치

18세 전·후로 자라는 사랑니, 이름과 달리 대부분은 골칫덩이로 자라…
혹시나 기형 혹은 잇몸 안에서 자라는 매복이라면?
주변은 물론 구강 전체 악영향을 줄 수 있어, 발치가 필요!

(매복)사랑니 발치! 이런 환자분들은 필요합니다.

환자 개인에 따라 치과 치료 및 시술 방법이 다르게 적용될 수 있으며
통증과 출혈, 염증 등 부작용이 발생할 수 있으니 충분한 상담 후 진행하시기 바랍니다.

- 의료법 제 56조 제2항 7호에 따라 ‘치과 치료 (시술) 부작용’에 대한 내용을 명시합니다 -

Q. 사랑니발치, 언제가 좋을까요?

개인마다 차이는 확실히 있지만 시기적으로는 20대 초·중반 그리고 30대 이전을 권장

시간과 요일로는 응급상황을 고려해, 주말과 공휴일 전날을 피한 오전을 선택

치료가 끝이 아닙니다!

구강 관리정기적인 검진은 필수입니다.

발치 직 후, 지혈을 위해 2시간 정도는 거즈를 꼭 물고 있어야 해요.
(금연과 금주는 필수, 피나 침은 삼키고 빨대 사용은 삼가해주세요)

붓기 완화를 위해서는 10~20분 간격으로 냉찜질을 실시해주세요.

발치 부위를 자극하지 않도록 부드러운 유동식으로 식사해주세요.

1~2일간은 격한 운동이나 사우나 등은 피하고 충분한 휴식이 필요해요.

처방된 약은 반드시 섭취하고 발치 부위를 제외하고 1~2일간은 부드럽게
양치질한 후, 처방된 가글로 반드시 부위가 소독되도록 사용해주세요.

본 치과병원은 국민건강보험공단에서 지정한 의료기관입니다.

영유아학생 그리고 성인(일반/직장인/생애전환기) 실시

건강검진기본법 관련 구강검진기관 지정기준(제4조 제2항 관련)에 의하여 선정된 기관입니다.
대상자 _ 생후 18~29 · 42~53 · 54~65개월, 초·중·고등학생, 직장인, 만 40세, 만 66세

ONE_STOP Care!

협력 진료 시스템

치과 치료 특성상 여러 치료가 연계되는 상황에서 시간이나 비용 등
경제적인 부담을 줄이기 위해서는 체계적인 협진이 필요합니다.

  • 보철과
  • 보존과
  • 구강외과
  • 교정과