본문 바로가기 주메뉴 바로가기

전체메뉴

스케일링 in Raon

철저한 준비로 보다 안전하게!

정확한 진단을 바탕으로 기능성과 심미성을 고려한 맞춤형
체계적인 시스템으로 철저한 관리 프로그램을 시행

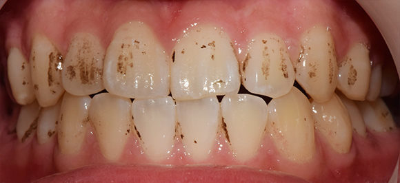
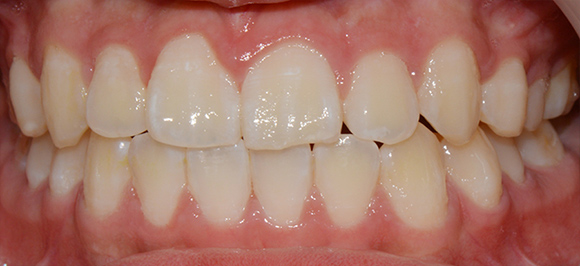
스케일링 (치석제거술)

구강 건강을 위협하는 1순위 요인. 치태와 치석
평소 양치질만으로는 제거하기가 어렵기 때문에 스켈링이 필요
잇몸질환 예방과 더불어 가벼운 염증치료도 가능!

생활 습관 그리고 상태에 따른 스케일링 주기는?

환자 개인에 따라 치과 치료 및 시술 방법이 다르게 적용될 수 있으며
통증과 출혈, 염증 등 부작용이 발생할 수 있으니 충분한 상담 후 진행하시기 바랍니다.

- 의료법 제 56조 제2항 7호에 따라 ‘치과 치료 (시술) 부작용’에 대한 내용을 명시합니다 -

오해와 진실. 스케일링은 치아를 깎지 않아요!

오히려 구강질환을 예방하는 시술로 치아를 깎을 정도의
힘이 되지 못하며, 치태와 치석만을 제거하는 시술

치료가 끝이 아닙니다!

구강 관리정기적인 검진은 필수입니다.

시술 중 혹은 후, 시림이나 들뜸 허전함은 일시적인 현상이예요.

음식으로 인해 나타나는 예민한 증상 또한 1~2주 정도면 호전이 되요.

치석이 많거나 염증이 심한 경우에는 출혈이 길어질 수 있어요.
(추 후, 잇몸치료나 2회 이상 스케일링이 필요한 경우도 있어요.)

음주는 염증 유발과 흡연은 착색을 유발해, 1주 정도는 삼가해주세요.

치실이나 치간 칫솔 등 보조용품을 꾸준하고 지속적으로 사용하고
관리해야 치태와 치석이 쌓이는 속도를 늦추니, 사용을 권해드려요.

마취를 한 경우, 2~3시간 후에 풀리므로 식사는 마취가 풀린 후에 드세요.
(무감각 상태일 때는 볼이나 혀를 씹어 상처가 생길 수 있어요.)

본 치과병원은 국민건강보험공단에서 지정한 의료기관입니다.

영유아학생 그리고 성인(일반/직장인/생애전환기) 실시

건강검진기본법 관련 구강검진기관 지정기준(제4조 제2항 관련)에 의하여 선정된 기관입니다.
대상자 _ 생후 18~29 · 42~53 · 54~65개월, 초·중·고등학생, 직장인, 만 40세, 만 66세

ONE_STOP Care!

협력 진료 시스템

치과 치료 특성상 여러 치료가 연계되는 상황에서 시간이나 비용 등
경제적인 부담을 줄이기 위해서는 체계적인 협진이 필요합니다.

  • 보철과
  • 보존과
  • 구강외과
  • 교정과