본문 바로가기 주메뉴 바로가기

전체메뉴

임플란트 in Raon

철저한 준비로 보다 안전하게!

정확한 진단을 바탕으로 기능성과 심미성을 고려한 맞춤형
체계적인 시스템으로 철저한 관리 프로그램을 시행

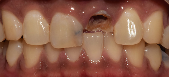
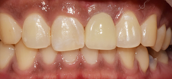
앞니 임플란트

치아의 기능성과 더불어 심미성도 중요한 앞니
기능 회복과 동시에 자연스러운 얼굴을 재현하는 임플란트
눈에 보이는 앞니이기 때문에 색, 모양 등 조화를 고려

앞니 임플란트! 이런 환자분들께 추천드립니다.

환자 개인에 따라 임플란트 수술 및 뼈이식 시술 등 치료 방법이 다르게 적용될 수 있으며
통증과 출혈, 염증 등 부작용이 발생할 수 있으니 충분한 상담 후 진행하시기 바랍니다.

- 의료법 제 56조 제2항 7호에 따라 ‘임플란트 수술 및 시술(치료) 부작용’에 대한 내용을 명시합니다 -

치료가 끝이 아닙니다!

구강 관리정기적인 검진은 필수입니다.

처방된 약은 반드시 의료진의 지시대로 모두 복용해야 해요.

붓기와 통증의 완화를 위해서는 1~2일간 얼음찜질을 규칙적으로 해주세요.

지혈은 2시간 동안은 거즈를 물고, 피와 침은 모두 삼켜주세요

3일간은 미지근한 유동식(죽, 스프)으로 식사를 해주세요.

격한 운동이나 사우나는 임플란트에 악영향을 주기 때문에 자제해주세요.

수술 부위를 혀나 손가락으로 만져 자극하는 행동은 금해주세요.

통증 등 증상이 완화되지 않는다면 신속히 내원을 해주세요.

본 치과병원은 국민건강보험공단에서 지정한 의료기관입니다.

영유아학생 그리고 성인(일반/직장인/생애전환기) 실시

건강검진기본법 관련 구강검진기관 지정기준(제4조 제2항 관련)에 의하여 선정된 기관입니다.
대상자 _ 생후 18~29 · 42~53 · 54~65개월, 초·중·고등학생, 직장인, 만 40세, 만 66세

ONE_STOP Care!

협력 진료 시스템

치과 치료 특성상 여러 치료가 연계되는 상황에서 시간이나 비용 등
경제적인 부담을 줄이기 위해서는 체계적인 협진이 필요합니다.

  • 보철과
  • 보존과
  • 구강외과
  • 교정과